Форум: Русские за Границей  

Вернуться   Форум: Русские за Границей > Персональные форумы > Всё о Пуделе

Ответ

 
Опции темы Оценить тему Опции просмотра
Старый 08.02.2018, 09:29   #1
Lulichka вне форума
Lulichka
Новичок
 
Регистрация: 08.02.2018
Адрес: Иркутск
Сообщений: 12
Сказал(а) спасибо: 15
Получено благодарностей: 3 в 3 постах
Unhappy прошу совета, собаке поставлен диагноз "врожденный вывих тазобедренного сустава"

Доброго времени суток, уважаемые форумчане! Необходима ваша помощь! У нас карликовый пудель, возраст 1г4м, очень активный собак. Последнее время стала замечать, что в некоторых случаях после не очень удачного разбега или наоборот торможения он поднимает заднюю правую лапку: стоит на трех лапах, а задняя правая немного поджата, притом не то что поджата, а просто находится не на полу/земле. В основном же играет, бегает, и скачет как попрыгунчик, и с лапкой всё нормально, даже не прихрамывает, а потом раз какое-то неловкое движение, и лапка в подвешенном состоянии... Я стараюсь как-то его отвлечь - то позову, то отвлеку - он иногда так на трех лапках и скачет пару метров (уже потом встает на четвертую); иногда сразу встает на четвертую и бежит; иногда начинает бежать на трёх, отряхивается и продолжает на четырех.

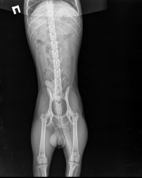
На выходных ездили в вет.клинику, при первичном осмотре врач-хирург поставил предварительный диагноз - дисплазия тазобедренного сустава, отправили нас на снимок, чтобы посмотреть, в каком состоянии головка бедра... После того, как сделали снимок, был поставлен окончательный диагноз - врожденный вывих тазобедренного сустава...
Назначено лечение:
1. хионат по 1 мл + 10 мл натрия хлорида в/в струйно 1 раз в 7 дней (4 инъекции)
2. мильгамма по 1 мл в/м 2 раза в день в теч 10 дней (курс повторить через 10 дней)
3. локсиком 1 раз в день в теч 7 дней на язык по весу (курс повторять при обострении хромоты, но не чаще чем 1 раз в месяц)
Также назначили при приеме локсикома давать омепразол (1/2 таблетки) или альмагель (1-2 мл), т.к. я пожаловалась на желудок, ведь мы совсем недавно пролечили гастрит (была периодическая рвота желтой пеной на голодный желудок): пили квамател по 1/2 таблетки 2 раза в день до еды в теч 10 дней.

По словам врача, ставить хионат нам не имеет смысла, ибо связки у собаки нет от рождения (это меня больше всего удивило - как так, что связки нет и не было...) поэтому основным лекарством для нас является локсиком, который снимет воспаление и обезболит..

Перечитала уже всё в интернете, и про снимки, и про дисплазию, и про вывихи, но ничего подобного нашему случаю не нашла...

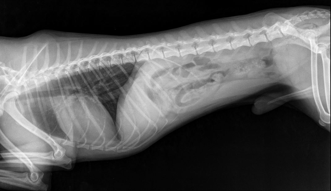
Прикладываю снимки, приблизила, чтобы лучше видно было. Также выкладываю снимок грудной клетки(этот снимок мы делали пару месяцев назад, когда он кашлял и врач исключал бронхит), на нем тоже есть ТБС, вдруг тоже на нем что-нибудь видно..
Пожалуйста, отпишитесь, может у кого-то было что-то подобное - чем лечились, какой диагноз ставили, как собака себя чувствует сейчас? Верно ли нам был поставлен диагноз и какие у нас прогнозы? Очень переживаю...


Благодарю за внимание к своей теме, Юлия.
  Ответить с цитированием
За этот пост Lulichka поблагодарили:
Удалить:
Куколка (08.02.2018)
Старый 08.02.2018, 09:36   #2
Lulichka вне форума
Lulichka
Новичок
 
Регистрация: 08.02.2018
Адрес: Иркутск
Сообщений: 12
Сказал(а) спасибо: 15
Получено благодарностей: 3 в 3 постах
По умолчанию

Снимки:
Миниатюры
Нажмите на изображение для увеличения
Название: 04.02.2018 Джин КС (увеличение с общего снимка).JPG
Просмотров: 811
Размер:	66.7 Кб
ID:	90392   Нажмите на изображение для увеличения
Название: 04.02.2018 Джин общий снимок.JPG
Просмотров: 736
Размер:	31.1 Кб
ID:	90393   Нажмите на изображение для увеличения
Название: 04.02.2018 Джин ТБС (увеличение с общего снимка).JPG
Просмотров: 745
Размер:	72.9 Кб
ID:	90394   Нажмите на изображение для увеличения
Название: 10.12.2017 Джин рентген грудной клетки (увеличение с обще.JPG
Просмотров: 674
Размер:	87.3 Кб
ID:	90395   Нажмите на изображение для увеличения
Название: 10.12.2017 Джин рентген грудной клетки 2 (увеличение с общ.JPG
Просмотров: 695
Размер:	68.6 Кб
ID:	90396  

  Ответить с цитированием
Старый 08.02.2018, 09:37   #3
Lulichka вне форума
Lulichka
Новичок
 
Регистрация: 08.02.2018
Адрес: Иркутск
Сообщений: 12
Сказал(а) спасибо: 15
Получено благодарностей: 3 в 3 постах
По умолчанию

и еще 1:
Миниатюры
Нажмите на изображение для увеличения
Название: 10.12.2017 Джин рентген грудной клетки.JPG
Просмотров: 653
Размер:	72.0 Кб
ID:	90397  
  Ответить с цитированием
Старый 08.02.2018, 10:06   #4
Персик вне форума
Персик
Наставник
 
Аватар для Персик
 
Регистрация: 23.04.2013
Адрес: Усть-Илимск, Иркутская область
Сообщений: 333
Сказал(а) спасибо: 29
Получено благодарностей: 810 в 271 постах
По умолчанию

Lulichka, Где Вы живете?
  Ответить с цитированием
Старый 08.02.2018, 10:12   #5
Lulichka вне форума
Lulichka
Новичок
 
Регистрация: 08.02.2018
Адрес: Иркутск
Сообщений: 12
Сказал(а) спасибо: 15
Получено благодарностей: 3 в 3 постах
По умолчанию

мы в Иркутске!
  Ответить с цитированием
Старый 08.02.2018, 14:40   #6
Iriska вне форума
Iriska
Гуру
 
Аватар для Iriska
 
Регистрация: 05.07.2005
Адрес: Моск.обл. г.Ногинск
Сообщений: 1 852
Сказал(а) спасибо: 111
Получено благодарностей: 2 992 в 650 постах
Отправить сообщение для Iriska с помощью ICQ Отправить сообщение для Iriska с помощью Skype™
По умолчанию

А где вы вывих тбс видите на снимках? И какой связки там нет?
А про колени вам врач ничего не говорил?
_______________________________________
"Все зависит от Бога и немного от нас" (с)
  Ответить с цитированием
3 пользователей поблагодарили Iriska за этот полезный пост:
Удалить:
Lulichka (08.02.2018), Xusha75 (08.02.2018), Татьяна Шершова (08.02.2018)
Старый 08.02.2018, 15:02   #7
Lulichka вне форума
Lulichka
Новичок
 
Регистрация: 08.02.2018
Адрес: Иркутск
Сообщений: 12
Сказал(а) спасибо: 15
Получено благодарностей: 3 в 3 постах
По умолчанию

Ириска, не получается поставить цитату на ваше сообщение, т.к.
у меня недостаточно сообщений на данном форуме...

В том то и дело, что я вывиха не вижу... Потому и сомневаюсь... пересмотрела наверное больше сотни разных снимков собак с вывихами, дисплазиями и другой ерундой, но на нашем снимке головка бедренной кости находится в вертлужной впадине, никаких наростов на ней нет, сама вертлужная впадина выглядит как глубокая чашка, а не как блюдце (которое описывают при дисплазии).. Потому и сомнения:(((

Врач рассказывал, что т.к. у него отсутствует связка, головка бедра может выходить из вертлужной впадины, но так как там вокруг еще мышцы, то они все равно достаточно удерживают сустав в этом месте, и сустав встает на место. Также сказал, что в нашем случае головка бедра не несет никакой функции, и по-хорошему ее необходимо удалить, как только боли и хромота начнут иметь постоянный характер... Как-то так..:( я не специалист в этом, поэтому хотелось бы чью-то еще консультацию.

Про колени ничего не сказал совсем... хотя изначально прощупывал собаку и колени вроде как тоже проверял... А что с коленями?
  Ответить с цитированием
Старый 08.02.2018, 16:48   #8
Xusha75 вне форума
Xusha75
Гуру
 
Аватар для Xusha75
 
Регистрация: 13.05.2009
Адрес: Ставрополь
Сообщений: 1 151
Сказал(а) спасибо: 511
Получено благодарностей: 1 653 в 599 постах
По умолчанию

Цитата:
Сообщение от Lulichka Посмотреть сообщение
Врач рассказывал, что т.к. у него отсутствует связка, головка бедра может выходить из вертлужной впадины, но так как там вокруг еще мышцы, то они все равно достаточно удерживают сустав в этом месте, и сустав встает на место. Также сказал, что в нашем случае головка бедра не несет никакой функции, и по-хорошему ее необходимо удалить, как только боли и хромота начнут иметь постоянный характер... Как-то так..
А можно я Вам отвечу цитатой из одного фильма? Она сюда подходит как нельзя лучше. "Беги, дядь Мить, беги..." (с) Вот и все, что остается ответить на такие "откровения". Упаси Господь от таких врачей на пути моих собак и кота (да и на моем тоже).
_______________________________________
Количество разума на Земле - величина постоянная, а население Земли постоянно растет (с)
-----------------
Все мы с вами чей-нибудь неадекватный друг
  Ответить с цитированием
2 пользователей поблагодарили Xusha75 за этот полезный пост:
Удалить:
Lulichka (08.02.2018), Татьяна Шершова (08.02.2018)
Старый 08.02.2018, 16:57   #9
Iriska вне форума
Iriska
Гуру
 
Аватар для Iriska
 
Регистрация: 05.07.2005
Адрес: Моск.обл. г.Ногинск
Сообщений: 1 852
Сказал(а) спасибо: 111
Получено благодарностей: 2 992 в 650 постах
Отправить сообщение для Iriska с помощью ICQ Отправить сообщение для Iriska с помощью Skype™
По умолчанию

Если врач реально сказал то, что вы пишете - сходите к другому и проверьте колени (хотя по снимку и так видно)
_______________________________________
"Все зависит от Бога и немного от нас" (с)
  Ответить с цитированием
2 пользователей поблагодарили Iriska за этот полезный пост:
Удалить:
Lulichka (08.02.2018), Xusha75 (08.02.2018)
Старый 08.02.2018, 16:58   #10
Xusha75 вне форума
Xusha75
Гуру
 
Аватар для Xusha75
 
Регистрация: 13.05.2009
Адрес: Ставрополь
Сообщений: 1 151
Сказал(а) спасибо: 511
Получено благодарностей: 1 653 в 599 постах
По умолчанию

По сабжу. Переделывайте рентген - собака лежит как черти что. Должна лежать прямо. Конечности должны быть строго параллельны, рентген ТБС делается с оттяжкой. Тогда можно будет говорить о корректных снимках (и только о них). О каких связках речь, если они на рентгене не видны? Для того, чтобы разглядеть связки вообще - делают КТ либо МРТ.
И да. Согласна с Iriska - проверьте коленки. Особенно как раз правую.
_______________________________________
Количество разума на Земле - величина постоянная, а население Земли постоянно растет (с)
-----------------
Все мы с вами чей-нибудь неадекватный друг


Последний раз редактировалось Xusha75; 08.02.2018 в 17:15. Причина: добавила про коленки
  Ответить с цитированием
За этот пост Xusha75 поблагодарили:
Удалить:
Lulichka (08.02.2018)
Старый 08.02.2018, 17:02   #11
Iriska вне форума
Iriska
Гуру
 
Аватар для Iriska
 
Регистрация: 05.07.2005
Адрес: Моск.обл. г.Ногинск
Сообщений: 1 852
Сказал(а) спасибо: 111
Получено благодарностей: 2 992 в 650 постах
Отправить сообщение для Iriska с помощью ICQ Отправить сообщение для Iriska с помощью Skype™
По умолчанию

Цитата:
Сообщение от Xusha75 Посмотреть сообщение
По сабжу. Переделывайте рентген - собака лежит как черти что. Должна лежать прямо. Конечности должны быть строго параллельны, рентген ТБС делается с оттяжкой. Тогда можно будет говорить о корректных снимках (и только о них). О каких связках речь, если они на рентгене не видны? Для того, чтобы разглядеть связки вообще - делают КТ либо МРТ.
В любом случае вывиха тбс там нет. Зато отсняли во всех проекциях, вплоть до грудной клетки))) врач выполнял план по рентгену? Либо тс нам что-то не договаривает
_______________________________________
"Все зависит от Бога и немного от нас" (с)
  Ответить с цитированием
За этот пост Iriska поблагодарили:
Удалить:
Lulichka (08.02.2018)
Старый 08.02.2018, 17:05   #12
Xusha75 вне форума
Xusha75
Гуру
 
Аватар для Xusha75
 
Регистрация: 13.05.2009
Адрес: Ставрополь
Сообщений: 1 151
Сказал(а) спасибо: 511
Получено благодарностей: 1 653 в 599 постах
По умолчанию

Iriska, Наташ, в старт-посте ТС написала, что рентген ГК делали сильно раньше, просто она залила его сюда на всякий случай.
_______________________________________
Количество разума на Земле - величина постоянная, а население Земли постоянно растет (с)
-----------------
Все мы с вами чей-нибудь неадекватный друг
  Ответить с цитированием
За этот пост Xusha75 поблагодарили:
Удалить:
Lulichka (08.02.2018)
Старый 08.02.2018, 17:28   #13
Lulichka вне форума
Lulichka
Новичок
 
Регистрация: 08.02.2018
Адрес: Иркутск
Сообщений: 12
Сказал(а) спасибо: 15
Получено благодарностей: 3 в 3 постах
По умолчанию

Iriska, скажите, пожалуйста, что именно вы видите на снимке по коленям? Какие отклонения?
При данных проблемах собака ведет себя примерно также, как я описывала выше?

Xusha75, да, я согласна, что снимок не очень удачный... но нас три раза засветили в тот день, этот был последний и по словам специалиста в рентген-кабинете был самым правильным. Хотя я конечно на тот момент еще не знала некоторых тонкостей правильного рентген-снимка, узнала о них уже позже, уже дома после постановки диагноза в поисках ответов на все свои вопросы.. Вообще пишут, что под наркозом нужно делать снимки, но жалко ведь ради рентгена лишний раз его ставить, ведь собака себя достаточно спокойно вела, он позволял и ноги вытянуть и лежал на спине не крутился. Что такое оттяжка (не вытягивание ли ног как раз), а то не получилось найти в интернете... Считаете, что не вредно будет его еще раз свозить на рентген? (уже четвертый раз - один раз был в декабре, и три - на прошедших выходных), или сколько- то можно переждать и пока попробовать полечиться как-то?
  Ответить с цитированием
Старый 08.02.2018, 17:59   #14
Lika-Nika вне форума
Lika-Nika
Гуру
 
Аватар для Lika-Nika
 
Регистрация: 30.09.2009
Адрес: Germany
Сообщений: 4 677
Сказал(а) спасибо: 3 815
Получено благодарностей: 1 949 в 1 046 постах
Отправить сообщение для Lika-Nika с помощью ICQ Отправить сообщение для Lika-Nika с помощью Skype™
По умолчанию

Lulichka, Ну вот я начало только прочитала , про состояние собаки . Потом уже дальше дочитала . И первое что мне на ум пришло , по ее состоянию и поведению , это не вывих . Это колени , как написали ниже .
_______________________________________
Лика. Все пудели - собаки, но не все собаки - пудели. (американская пословица) Проснулась, умылась, нарядилась,улыбнулась и пошла УКРАШАТЬ МИР !
  Ответить с цитированием
За этот пост Lika-Nika поблагодарили:
Удалить:
Lulichka (08.02.2018)
Старый 08.02.2018, 19:09   #15
Iriska вне форума
Iriska
Гуру
 
Аватар для Iriska
 
Регистрация: 05.07.2005
Адрес: Моск.обл. г.Ногинск
Сообщений: 1 852
Сказал(а) спасибо: 111
Получено благодарностей: 2 992 в 650 постах
Отправить сообщение для Iriska с помощью ICQ Отправить сообщение для Iriska с помощью Skype™
По умолчанию

именно вывих, но коленной чашечки.
Даже при этой раскладке явно видно, что вывиха тбс нет.
Под наркозом и правильная раскладка важны при постановке дисплазии и Ее степени.
_______________________________________
"Все зависит от Бога и немного от нас" (с)
  Ответить с цитированием
3 пользователей поблагодарили Iriska за этот полезный пост:
Удалить:
Lika-Nika (08.02.2018), Lulichka (09.02.2018), Татьяна Шершова (08.02.2018)

Ответ


Ваши права в разделе
Вы не можете создавать новые темы
Вы не можете отвечать в темах
Вы не можете прикреплять вложения
Вы не можете редактировать свои сообщения

BB коды Вкл.
Смайлы Вкл.
[IMG] код Вкл.
HTML код Выкл.

Быстрый переход


Текущее время: 13:32. Часовой пояс GMT +3.



Поддержка форума — компания Relmax Web Design.

Powered by vBulletin® Version 3.8.7
Copyright ©2000 - 2025, vBulletin Solutions, Inc. Перевод: zCarot