Форум: Русские за Границей  

Вернуться   Форум: Русские за Границей > Персональные форумы > Всё о Пуделе

Ответ

 
Опции темы Рейтинг: Рейтинг темы: голосов - 4, средняя оценка - 5.00. Опции просмотра
Старый 23.03.2016, 06:13   #61
AnTe вне форума
AnTe
Собеседник
 
Регистрация: 05.05.2014
Сообщений: 87
Сказал(а) спасибо: 28
Получено благодарностей: 10 в 10 постах
По умолчанию

Снимки. Есть диск, но программа на нём почему-то не запускается, если понадобится - разберусь и найду способ открыть.
Мне эти снимки, к сожалению, ничего не говорят :(
Миниатюры
Нажмите на изображение для увеличения
Название: 19_14_24_21_1.jpg
Просмотров: 319
Размер:	124.7 Кб
ID:	81870   Нажмите на изображение для увеличения
Название: 19_14_27_32_2.jpg
Просмотров: 307
Размер:	128.5 Кб
ID:	81871  
  Ответить с цитированием
Старый 23.03.2016, 06:53   #62
AnTe вне форума
AnTe
Собеседник
 
Регистрация: 05.05.2014
Сообщений: 87
Сказал(а) спасибо: 28
Получено благодарностей: 10 в 10 постах
По умолчанию

Разобрался. Ужасно неудобно пользоваться, и, главное, не знаю, где же нужно увеличивать.

Я своим неопытным взглядом трещины не нахожу :(

вот, попытался увеличить сначала весь тазобедренный, потом правую часть
Миниатюры
Нажмите на изображение для увеличения
Название: фрося1.png
Просмотров: 329
Размер:	191.2 Кб
ID:	81872   Нажмите на изображение для увеличения
Название: Фрося2.png
Просмотров: 321
Размер:	201.6 Кб
ID:	81873  
  Ответить с цитированием
Старый 23.03.2016, 12:19   #63
tsilya-v вне форума
tsilya-v
Гуру
 
Аватар для tsilya-v
 
Регистрация: 02.03.2011
Адрес: Санкт-Петербург
Сообщений: 2 484
Сказал(а) спасибо: 258
Получено благодарностей: 1 212 в 708 постах
По умолчанию

Да есть, но будем надеятся, что поправится без последствий, молодая, смещений нет, вот поэтому и по поведению не понять было, был перелом или нет.
  Ответить с цитированием
Старый 23.03.2016, 12:27   #64
tsilya-v вне форума
tsilya-v
Гуру
 
Аватар для tsilya-v
 
Регистрация: 02.03.2011
Адрес: Санкт-Петербург
Сообщений: 2 484
Сказал(а) спасибо: 258
Получено благодарностей: 1 212 в 708 постах
По умолчанию

Кстати почему лично я думала, что у вас нет перелома, раз смотрел сразу врач, то уж ноги то надо было аккуратно в разных проекциях повыкручивать, тогда б нашли, или хотя бы заподозрили.
  Ответить с цитированием
Старый 23.03.2016, 12:33   #65
Шанс Бижу Чейз вне форума
Шанс Бижу Чейз
Гуру
 
Аватар для Шанс Бижу Чейз
 
Регистрация: 16.07.2012
Адрес: Ростов-на-Дону
Сообщений: 4 250
Сказал(а) спасибо: 1 802
Получено благодарностей: 4 580 в 1 968 постах
По умолчанию

Остаётся только ограничить подвижность собаки - организовать вольер или клетку, выводить под контролем человека. Собачка должна поправиться.
  Ответить с цитированием
Старый 23.03.2016, 12:39   #66
AnTe вне форума
AnTe
Собеседник
 
Регистрация: 05.05.2014
Сообщений: 87
Сказал(а) спасибо: 28
Получено благодарностей: 10 в 10 постах
По умолчанию

Спасибо! Ограничили!

Выводим гулять по одной. По распросам сына, днём дома они себя ведут спокойно, а бегают и играют они вдвоём в основном когда приходят хозяева (внимание привлекают? или просто радуются?), поэтому мы объяснили им, что этого делать не надо - понимают. Ну в исключительных случаях разводим по комнатам, на время.

На улицу выношу/заношу на руках, чтобы по лестнице не шагала (главное выходит теперь мне на неё вторично не упасть:))

Даже не думал, что бегать и прыгать пытаться будет настолько меньше. Ведь только говорили, чтобы успокоилась. Всё таки умнейшие существа.

Ну и лапа, соответственно, болит меньше, на улице обычно даже лапу не поднимает. Только сегодня с утра поднимала. Будем надеяться, тьфу тьфу тьфу
  Ответить с цитированием
За этот пост AnTe поблагодарили:
Удалить:
Старый 23.03.2016, 20:33   #67
Lika-MV вне форума
Lika-MV
Гуру
 
Аватар для Lika-MV
 
Регистрация: 28.10.2004
Адрес: г.Уфа
Сообщений: 5 897
Сказал(а) спасибо: 6 370
Получено благодарностей: 8 758 в 2 812 постах
Отправить сообщение для Lika-MV с помощью Skype™
По умолчанию

Цитата:
Сообщение от AnTe Посмотреть сообщение

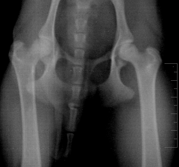
Обнаружено при осмотре: объём движений в правом ТБС ограничен, мышечный корсет атрофичен. При проводке хромота опирающейся конечности. При максимальных отведениях назад правого ТБС острая боль.

Заключение: перелом по вертлужной впадине правого ТБС
Вот теперь более-менее понятна картина. По перечисленным симптомам очень похоже на болезнь Пертеса, или остеохондропатию головки бедренной кости. На снимке явно заметна деформация головки правого сустава, левый в порядке: круглый, ровный, гладкий. Трещины на правом не видно, поэтому я бы не стала исключать другой диагноз. Врачу, конечно, виднее, но снимки можно показать и другому специалисту и выслушать его мнение. Пертес часто ошибочно связывают с травматикой, в то время как заболевание имеет наследственный характер и чаще ему подвержены мелкие породы собак. Подробнее - в интернете, а мне больше нечего добавить. Надеюсь, собачка получит своевременную помощь и лечение.
_______________________________________
PRO PERFECTIO POTEST NISI CERTAVER - К СОВЕРШЕНСТВУ МОЖНО ТОЛЬКО СТРЕМИТЬСЯ
Питомник малых пуделей "Из Мимолётного Видения"
http://poodles.name/
e-mail: lika-mv@list.ru
  Ответить с цитированием
За этот пост Lika-MV поблагодарили:
Удалить:
AnTe (19.04.2016)
Старый 24.03.2016, 05:39   #68
AnTe вне форума
AnTe
Собеседник
 
Регистрация: 05.05.2014
Сообщений: 87
Сказал(а) спасибо: 28
Получено благодарностей: 10 в 10 постах
По умолчанию

на всякий случай приложу ещё два увеличения

на всех снимках слева - правая нога
(там на предыдущих видно, что слева лежит метка R)
Миниатюры
Нажмите на изображение для увеличения
Название: фрося 3.png
Просмотров: 291
Размер:	293.4 Кб
ID:	81879   Нажмите на изображение для увеличения
Название: фрося 4.png
Просмотров: 281
Размер:	368.5 Кб
ID:	81880  
  Ответить с цитированием
Старый 19.04.2016, 08:33   #69
AnTe вне форума
AnTe
Собеседник
 
Регистрация: 05.05.2014
Сообщений: 87
Сказал(а) спасибо: 28
Получено благодарностей: 10 в 10 постах
По умолчанию

Прошу прощение за долгое молчание, работой завалило. А с другой стороны, вроде ситуация прояснилась.

Ездили в позапрошлую субботу (неделю назад) в другую клинику, (для красноярцев: в "Амикус", к Скобелеву).

Совершенно иной уровень обследования. Видимо, в "Центровете" сдохлись совсем. Даже свинцовые накладки на грудь хозяевам, когда делали снимки, не выдали. Плохие снимки не пересняли, по ним "диагностировали" трещину.

Цитата:
Сообщение от Lika-MV Посмотреть сообщение
Вот теперь более-менее понятна картина. По перечисленным симптомам очень похоже на болезнь Пертеса, или остеохондропатию головки бедренной кости. На снимке явно заметна деформация головки правого сустава, левый в порядке: круглый, ровный, гладкий. Трещины на правом не видно, поэтому я бы не стала исключать другой диагноз. Врачу, конечно, виднее, но снимки можно показать и другому специалисту и выслушать его мнение. Пертес часто ошибочно связывают с травматикой, в то время как заболевание имеет наследственный характер и чаще ему подвержены мелкие породы собак. Подробнее - в интернете, а мне больше нечего добавить. Надеюсь, собачка получит своевременную помощь и лечение.

Lika-MV, к сожалению, Вы оказались абсолютно правы: это болезнь Пертеса. Причём, врач предположил это сам, после осмотра, ещё до того, как сделал снимки, несмотря на то, что заключение центровета было "трещина".

Снимков делали два, но второй снимок аж три раза: всё время Скобелева качество не удовлетворяло. Диагноз подтвердился: "асептический аваскулярный некроз головки правой бедренной кости"

причина, по словам врача, неизвестна, может удар и спровоцировал, а может и нет

хирургическое вмешательство рекомендовал по состоянию, лучше позже, чем раньше


Последний раз редактировалось AnTe; 19.04.2016 в 09:44.
  Ответить с цитированием
Старый 19.04.2016, 09:38   #70
AnTe вне форума
AnTe
Собеседник
 
Регистрация: 05.05.2014
Сообщений: 87
Сказал(а) спасибо: 28
Получено благодарностей: 10 в 10 постах
По умолчанию

Цитата:
Сообщение от tsilya-v Посмотреть сообщение
Удачи вам и напишите потом о результате обследования, а на вет врача не грешите, были бы серьёзные основания, вас в срочном порядке прогнали бы за помощью)
Вы правы, зря "в горячке" нагонял на нашего ветеринара. Она ведь её очень хорошо осматривала, и Фросенька ещё не хромала.

Скобелев затем даже наблюдая хромоту, сразу сделал вывод, что это не перелом.

Вот, кстати, прикладываю его заключение.

Ограничение движения ей не нужно, и не нужно было. Как только, после того, как по рекомендациям "центровета" мы его ограничили - так сразу хромота усилилась, в виду дистрофии мышц. Что ещё больше усиливает нагрузку на сустав, если я правильно помню слова Скобелева. К последнему посещению врача собака хромала уже конкретно.

В общем, итог, совет врача - ограничивать нагрузку не просто бесполезно, а вредно. Только не переусердствовать.

Сейчас её не ограничиваем. За десять дней Фрося стала хромать гораздо меньше. В последнее время хромота заметна в основном только с утра, когда спросоня и на прогулку. Так что будем наблюдать.
Миниатюры
Нажмите на изображение для увеличения
Название: frosya_copy.jpg
Просмотров: 309
Размер:	221.8 Кб
ID:	82308  


Последний раз редактировалось AnTe; 19.04.2016 в 09:43.
  Ответить с цитированием
За этот пост AnTe поблагодарили:
Удалить:
Калина5 (19.04.2016)
Старый 23.04.2016, 19:37   #71
vip_i вне форума
vip_i
Гуру
 
Аватар для vip_i
 
Регистрация: 20.11.2010
Сообщений: 1 024
Сказал(а) спасибо: 1 099
Получено благодарностей: 1 144 в 355 постах
По умолчанию

AnTe, тут о болезни http://www.xray.com.ua/animals.php?a...t&acti=perthes Болезнь Легга-Кальве-Пертеса у собак.
Оттуда
Цитата:
Если на рентгенограммах головка бедренной кости не деформирована, суставная щель ровная, поверхности головки бедренной кости и вертлужной впадины конгруэнтны, то строгое ограничение движений животного (клетка) может привести к полному выздоровлению животного и исчезновению клинических и рентгенографических проявлений болезни Легга-Пертеса. Разрешены только очень короткие прогулки в течение 5-10 минут на коротком поводке. Ежемесячно необходимо выполнять рентгенографию для контроля над течением процесса. Ограничение подвижности должно продолжаться до тех пор, пока на рентгенограммах не исчезнут очаги сниженной плотности костной ткани головки бедра. Если наблюдается прогрессирование заболевания и деформация головки бедренной кости, то необходимо принять решение о хирургическом лечении. Консервативное лечение подходит для собак, у которых выявлены только незначительные рентгенографические изменения структуры костной ткани головки бедра, не сопровождающиеся хромотой или болезненностью. Обычно требуется от 4 до 6 месяцев клеточного содержания для полного завершения ремоделирования костной ткани. Любое нарушение режима жесткого ограничения подвижности собаки может привести к дальнейшему повреждению головки бедра и ухудшению прогноза.
  Ответить с цитированием
Старый 25.04.2016, 10:47   #72
AnTe вне форума
AnTe
Собеседник
 
Регистрация: 05.05.2014
Сообщений: 87
Сказал(а) спасибо: 28
Получено благодарностей: 10 в 10 постах
По умолчанию

vip_i, спасибо.

Жаль, конечно, что нет данных о прценте выздоровления. Собака за полгода в клетке с ума сойдёт, хотелось бы осознавать, ради чего такие траты
  Ответить с цитированием
Старый 25.04.2016, 11:19   #73
vip_i вне форума
vip_i
Гуру
 
Аватар для vip_i
 
Регистрация: 20.11.2010
Сообщений: 1 024
Сказал(а) спасибо: 1 099
Получено благодарностей: 1 144 в 355 постах
По умолчанию

AnTe, надо поспрашивать в ветеринарной теме, что делать и какие прогнозы. К сожалению, часто решение -операция. Продублируйте диагноз и спросите в ветеринарной ветке. Поправляйтесь.
  Ответить с цитированием
Старый 25.04.2016, 11:21   #74
tsilya-v вне форума
tsilya-v
Гуру
 
Аватар для tsilya-v
 
Регистрация: 02.03.2011
Адрес: Санкт-Петербург
Сообщений: 2 484
Сказал(а) спасибо: 258
Получено благодарностей: 1 212 в 708 постах
По умолчанию

Не исследовала досконально эту проблему, но на моей памяти в основном только хирургия.
  Ответить с цитированием
Старый 25.04.2016, 11:57   #75
Svetlyachok вне форума
Svetlyachok
Гуру
 
Аватар для Svetlyachok
 
Регистрация: 18.01.2011
Адрес: Москва
Сообщений: 3 712
Сказал(а) спасибо: 500
Получено благодарностей: 1 647 в 827 постах
По умолчанию

Мне тоже запомнилось, что когда у моего подозревали Пертеса, то сразу говорили, что если обнаружат - то операция.
_______________________________________
Каждому пуделю нужен дом!
http://home4poodle.info/
  Ответить с цитированием

Ответ


Ваши права в разделе
Вы не можете создавать новые темы
Вы не можете отвечать в темах
Вы не можете прикреплять вложения
Вы не можете редактировать свои сообщения

BB коды Вкл.
Смайлы Вкл.
[IMG] код Вкл.
HTML код Выкл.

Быстрый переход


Текущее время: 14:22. Часовой пояс GMT +3.



Поддержка форума — компания Relmax Web Design.

Powered by vBulletin® Version 3.8.7
Copyright ©2000 - 2026, vBulletin Solutions, Inc. Перевод: zCarot